切换至 "中华医学电子期刊资源库"

中华消化病与影像杂志(电子版) ›› 2023, Vol. 13 ›› Issue (02) : 126 -128. doi: 10.3877/cma.j.issn.2095-2015.2023.02.014

所属专题: 经典病例

病例报告

无痛内镜下修补肠穿孔一例
王胤1, 杜文杰2,()   
  1. 1. 236800 安徽省,亳州市人民医院消化内科
    2. 236800 安徽省,亳州市人民医院重症医学科
  • 收稿日期:2022-11-29 出版日期:2023-04-01
  • 通信作者: 杜文杰
  • 基金资助:
    亳州市重大研发项目(bzzc2021023)
  • Received:2022-11-29 Published:2023-04-01
引用本文:

王胤, 杜文杰. 无痛内镜下修补肠穿孔一例[J/OL]. 中华消化病与影像杂志(电子版), 2023, 13(02): 126-128.

患者女性,74岁,因"腹痛、腹胀4 h"入院。患者于4 h前外院行肠镜检查中突发腹痛,为全腹持续性、剧烈腹痛;伴腹胀,肛门停止排气、排便;伴胸闷,气喘,张口叹息样呼吸。查体:神志清,精神差,痛苦面容。呼吸短促,呈胸式呼吸,双肺呼吸音粗,双下肺可闻及散在湿啰音及部分哮鸣音。腹部膨隆,高度胀气,拒按,腹肌紧张,全腹压痛及反跳痛。肠鸣音消失。紧急行胸腹部CT(图1):可见腹腔游离气体,肺部感染及支气管扩张。血常规:白细胞13.88×109/L,中性粒细胞11.65×109/L,中性粒细胞百分比83.9%,肝、肾功能、病毒四项、凝血、肌钙蛋白、D2聚体、淀粉酶、C反应蛋白均未见明显异常。

图1 胸腹部CT注:1A腹腔大量积气;1B支气管扩张;1C肺部感染
图2 内镜下穿孔修补术注:2A穿孔;2B、2C和谐梯次夹毕;2D尼龙绳缝合
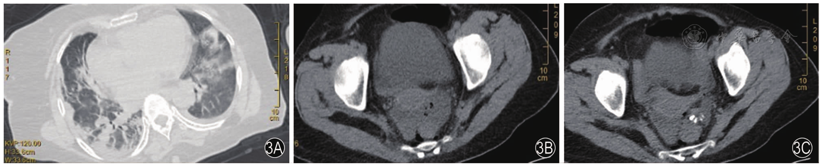
图3 术后第1天复查CT注:3A肺部感染加重;3B盆腔积气积液;3C和谐夹位置
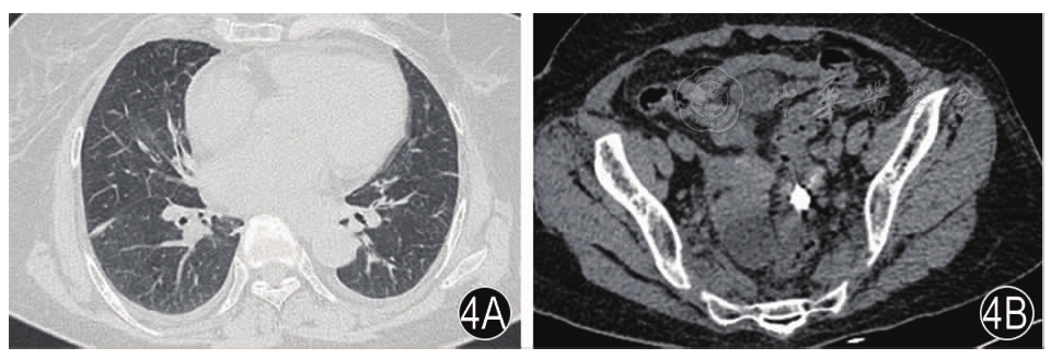
图4 术后第11天复查CT注:4A肺炎吸收;4B穿孔部位形成包裹性积液
图5 出院1个月后复查CT注:5A盆腔积液消失;5B钛夹消失
1
An SBShin DWKim JY,et al.Decision-making in the management of colonoscopic perforation:a multicentre retrospective study[J].Surg Endosc201630:2914-2921.
2
Derbyshire EHungin PNickerson C,et al.Colonoscopic perforations in the English National Health Service Bowel Cancer Screening Programme[J].Endoscopy201850:861-870.
3
Mai CMWen CCWen SH,et al.Iatrogenic colonic perforation by colonoscopy:a fatal complication for patients with a high anesthetic risk[J].Int J Colorectal Dis201025:449-454.
4
Iqbal CWChun YSFarley DR.Colonoscopic perforations:a retrospective review[J].J Gastrointest Surg20059:1229-1235.
5
Byeon JS.Colonic Perforation:Can We Manage It Endoscopically?[J].Clin Endosc201346(5):495-499.
6
Hamdani UNaeem RHaider F,et al.Risk factors for colonoscopic perforation:a population-based study of 80118 cases[J].World J Gastroenterol201319(23):3596-35601.
7
Anderson MLPasha TMLeighton JA.Endoscopic perforation of the colon:lessons from a 10-year study.Am J Gastroenterol[J].Am J Gastroenterol200095(12):3418-3422.
8
Chukmaitov ABradley CJDahman B,et al.Association of polypectomy techniques,endoscopist volume,and facility type with colonoscopy complications[J].Gastrointest Endosc2013,;77(3):436-446.
9
Bielawska BDay AGLieberman DA,et al.Risk factors for early colonoscopic perforation include non-gastroenterologist endoscopists:a multivariable analysis[J].Clin Gastroenterol Hepatol201412(1):85-92.
10
Rabeneck LPaszat LFHilsden RJ,et al.Bleeding and perforation after outpatient colonoscopy and their risk factors in usual clinical practice[J].Gastroenterology2008135(6):1899-1906,1906.e1.
11
Yang DHByeon JSLee KH,et al.Is endoscopic closure with clips effective for both diagnostic and therapeutic colonoscopy-associated bowel perforation?[J].Surg Endosc201024:1177-1185.
12
de′Angelis NDi Saverio SChiara O,et al.2017 WSES guidelines for the management of iatrogenic colonoscopy perforation[J].World J Emerg Surg201813:5.
13
Park JYChoi PWJung SM,et al.The outcomes of management for colonoscopic perforation:a 12-Year experience at a single institute[J].Ann Coloproctol201632:175-183.
14
Thirumurthi SRaju GS.Management of polypectomy complications[J].Gastrointest Endosc Clin N Am201525:335-357.
15
An SBShin DWKim JY,et al.Decision-making in the management of colonoscopic perforation:a multicentre retrospective study[J].Surg Endosc201630:2914-2921.
16
Zhi JiehuaAli KashifChe YaoSheng,et al.Analysis of the Characteristics of Colonoscopy Perforation and Risk Factors for Failure of Endoscopic Treatment[J].Cureus202214(6):e25677.
17
Kim JSKim BWKim JI,et al.Endoscopic clip closure versus surgery for the treatment of iatrogenic colon perforations developed during diagnostic colonoscopy:a review of 115,285 patients[J].Surg Endosc201327(2):501-504.
18
Han JHPark SYoun S.Endoscopic closure of colon perforation with band ligation;salvage technique after endoclip failure[J].Clin Gastroenterol Hepatol20119(6):e54-e55.
19
Cho SBLee WSJoo YE,et al.Therapeutic options for iatrogenic colon perforation:feasibility of endoscopic clip closure and predictors of the need for early surgery[J].Surg Endosc201226(2):473-479.
20
王胤,陆兴俊,王要军.肠息肉术后迟发性穿孔1例内镜治疗及文献综述[J].中华保健医学杂志202123,23(6):676-677.
21
徐显林,李淑文,吴仕彬.内镜下尼龙绳套扎治疗医源性结肠穿孔一例[J].中华消化内镜杂志201734(10):747.
22
王恒,李昂,史晓辉,等.医源性结肠穿孔的诊治[J].中华胃肠外科杂志201821(6):660-665.
23
Nematihonar BehzadHosseini Seyed Pedram KouchakToutounchi Alireza Haghbin.Taenia saginata,the incidental find in case of intestinal perforation after blunt trauma and literature review[J].Int J Surg Case Rep2023103:107909.
24
Kathayat Lok BahadurChalise AnupMaharjan Jemesh Singh et al.Intestinal Perforation with Ingestion of Blunt Foreign Bodies:A Case Report[J].JNMA J Nepal Med Assoc202260(253):817-820.
25
Yamairi KazushiNiki MakotoImoto Waki,et al.Two cases of Clostridium ramosum bacteremia with intestinal perforation:The antimicrobial susceptibility of clinical strains[J].Anaerobe202380:102695.
No related articles found!
阅读次数
全文


摘要


AI


AI小编
你好!我是《中华医学电子期刊资源库》AI小编,有什么可以帮您的吗?