切换至 "中华医学电子期刊资源库"

中华消化病与影像杂志(电子版) ›› 2023, Vol. 13 ›› Issue (02) : 122 -125. doi: 10.3877/cma.j.issn.2095-2015.2023.02.013

所属专题: 经典病例

病例报告

原发性嗜酸细胞性胃肠炎并发嗜酸细胞性膀胱炎一例
李钊1, 白岩1, 赵景润2, 叶静3, 刘大亮1, 郭隽1,()   
  1. 1. 252000 山东第一医科大学附属聊城医院/聊城市人民医院影像科
    2. 252000 山东第一医科大学附属聊城医院/聊城市人民医院消化内科
    3. 252000 山东第一医科大学附属聊城医院/聊城市人民医院病理科
  • 收稿日期:2022-11-29 出版日期:2023-04-01
  • 通信作者: 郭隽
  • 基金资助:
    山东省医药卫生科技发展计划项目(2018WS416)
  • Received:2022-11-29 Published:2023-04-01
引用本文:

李钊, 白岩, 赵景润, 叶静, 刘大亮, 郭隽. 原发性嗜酸细胞性胃肠炎并发嗜酸细胞性膀胱炎一例[J/OL]. 中华消化病与影像杂志(电子版), 2023, 13(02): 122-125.

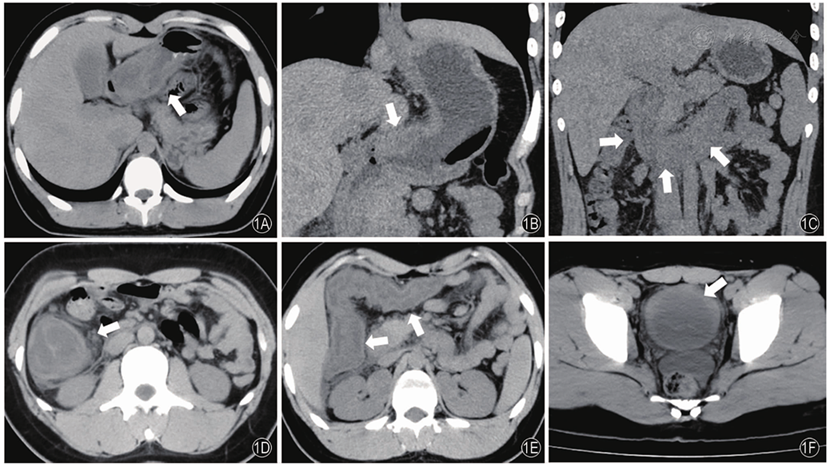
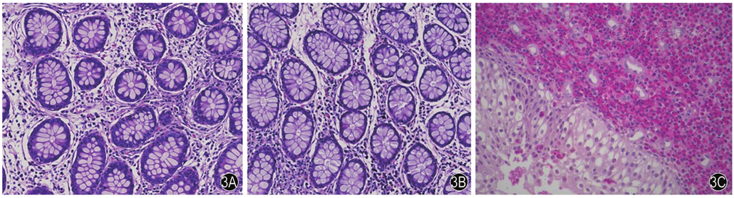
患者男性,15岁,因腹痛伴呕吐10余天,加重1天于2021年7月9日入院。既往"阑尾炎"病史1年余,药物保守治疗。患者于2021年6月21日无明显诱因出现腹痛伴呕吐,腹痛为右侧腹部阵发性绞痛,无其他部位放射,与进食排便无相关,伴频繁恶心、呕吐,非喷射性,呕吐物为所进食物,混有宿食,酸臭明显,伴腹泻,每日排黄色稀水样便6~8次,无鲜血及脓液,于当地诊所按"阑尾炎、胃肠炎"输液治疗数天,症状无好转,逐于2021年7月1日就诊于我院急诊。血液分析:白细胞10.45×109/L(正常值3.5~9.5×109/L),中性粒细胞6×109/L,淋巴细胞2.35×109/L,单核细胞0.71×109/L,嗜碱性粒细胞0.06×109/L,嗜酸性粒细胞计数1.33×109/L(正常值0.02~0.52×109/L),嗜酸性粒细胞百分比12.7%(正常值0.4~8.0%),红细胞计数5.19×109/L,血小板计数305×109/L,血红蛋白141 g/L,C反应蛋白3.05 mg/L,红细胞沉降率2 mm/1 h。生化全项:尿酸472 μmol/L(正常值208~506 μmol/L),余无异常。同日CT检查:胃窦、十二指肠、空肠近段、回肠末段、升结肠及右半横结肠肠壁增厚、水肿,呈分层样表现(图1A~1E),腹腔少量积液,并见膀胱壁弥漫性增厚(图1F)。连续7天予以输注头孢曲松及止痛药等治疗,腹痛稍缓解,仍有间断恶心、呕吐,每日排黄色稍成形便2~3次。1天前患者进食海鲜后出现剧烈腹痛,为持续性钝痛,恶心、呕吐较前频繁,同时出现尿频、尿急等尿路刺激症状,尿液蛋黄色,沫稍多,为求诊治,于2021年7月9日以"腹痛"收入我院消化科。血液分析:白细胞17.58×109/L,其中嗜酸性粒细胞计数6.23×109/L,嗜酸性粒细胞百分比35.4%,中性粒细胞7.82×109/L。生化全项:尿酸533 μmol/L,IgE 1427 IU/mL(正常值1.31~165.3 IU/mL)。尿液及沉渣分析:尿液呈淡黄色,轻度浑浊,尿微量白蛋白0.15 g/L。2021年7月9日CT检查:胃窦、十二指肠大致同前,空肠、回肠、升结肠及横结肠肠壁增厚程度及范围较前进展,腹腔积液较前增多,右侧胸腔新发少量积液;膀胱壁增厚较前进展。2021年7月12日完善骨髓穿刺骨髓像:粒系增生活跃,原粒未见,中、晚粒、杆状核比值偏低,形态未见明显异常,可见33%嗜酸性粒细胞,提示嗜酸性粒细胞增多。2021年7月12日胃肠镜提示:胃窦、十二指肠、空肠近段、回肠末段、升结肠及横结肠黏膜明显肿胀,管腔狭窄,表面散在充血红肿、糜烂(图2)。病理回报:胃窦黏液型黏膜慢性炎(++),活动性(+),少量嗜酸性粒细胞浸润,固有膜纤维组织增生;十二指肠降段,小肠绒毛萎缩,可见潘氏腺,固有层见嗜酸性粒细胞浸润;结肠黏膜组织,固有层较多嗜酸性粒细胞浸润,提示嗜酸细胞性胃肠炎(图3)。膀胱镜及病理结果:镜下膀胱黏膜弥漫性充血、水肿,病理组织学检查示黏膜层见大量嗜酸性粒细胞浸润,并混有少许淋巴细胞、浆细胞。过敏源检测对鸡肉、鸡蛋、蘑菇、小麦、鳕鱼等呈阳性。结合组织学检查诊断为嗜酸细胞性胃肠炎合并膀胱炎。给予泼尼松40 mg,qd,晨起顿服2周,然后每周减5 mg至停药,余继续予以抑酸、补液、调节肠道菌群及营养支持治疗,嘱患者暂避免进食大豆、小麦、蛋、奶、花生、坚果及鱼类等食物。

图1 腹部CT检查结果注:1A、1B胃窦壁明显增厚(↑);1C十二指肠壁明显增厚,周围脂肪间隙模糊(↑);1D降结肠壁明显分层样增厚,周围脂肪间隙模糊(↑);1E结肠肝曲及横结肠明显分层样增厚(↑);1F膀胱壁弥漫性增厚(↑)
图2 胃肠镜检查结果注:2A胃窦黏膜肿胀;2B十二指肠降部黏膜皱襞肿胀,可见片状发红、黏膜充血(↑);2C黏膜肿胀、粗大;2D黏膜肿胀
图3 病理结果注:3A升结肠黏膜固层较多嗜酸性粒细胞(HE染色×200);3B降结肠黏膜固层较多嗜酸性粒细胞浸润(HE染色×200);3C膀胱黏膜固有层大量嗜酸性粒细胞浸润(HE染色×200)
图4 复查腹部CT结果注:4A胃窦壁正常(↑);4B结肠肝曲及横结肠壁正常(↑);4C升结肠壁正常(↑);4D膀胱壁正常(↑)
1
Yan BMShaffer EA.Primary eosinophilic disorders of the gastrointestinal tract[J].Gut200958(5):721-732.
2
Rothenberg ME.Eosinophilic gastrointestinal disorders(EGID)[J].J Allergy Clin Immunol2004113(1):11-28;quiz 29.
3
Klein NCHargrove RLSleisenger MH,et al.Eosinophilie gastroenteritis[J].Medicine(Bahimore)197049:299-319.
4
Zhou HBChen JMDu Q.Eosinophilic gastroenteritis with ascites and hepatic dysfunction[J]. World J Gastroenterol200713(8):1303-1305.
5
Matsushita TMaruyama RIshikawa N,et al.The number and distribution of eosinophils in the adult human gastrointestinal tract:a study and comparison of racial and environmental factors[J]. Am J Surg Pathol201539(4):521-527.
6
Kinoshita YOouchi SFujisawa T.Eosinophilic gastrointestinal diseases-Pathogenesis,diagnosis,and treatment[J]. Allergol Int201968(4):420-429.
7
Brown EW.Eosinophilic granuloma of the bladder[J]. J Urol196083:665-668.
8
Palubinskas AJ.Eosinophilic cystitis.Case report of eosinophilic infiltration of the urinary bladder[J].Radiology196075:589-591.
9
Zhou AGAmin AYates JK,et al.Mass Forming Eosinophilic Cystitis in Pediatric Patients[J]. Urology2017101:139-141.
10
李华梅,金科,向永华.儿童嗜酸性膀胱炎的临床及CT表现[J].临床放射学杂志201938(5):900-903.
11
van den Ouden D.Diagnosis and management of eosinophilic cystitis:a pooled analysis of 135 cases[J].Eur Urol200037(4):386-394.
12
Teegavarapu PSSahai AChandra A,et al.Eosinophilic cystitis and its management[J].Int J Clin Pract200559(3):356-360.
13
Kim MSPark HPark CS,et al.Eosinophilic cystitis associated with eosinophilic enterocolitis:case reports and review of the literature[J].Br J Radiol201083(990):e122-e125.
14
Gregg JAUtz DC.Eosinophilic cystitis associated with eosinophilic gastroenteritis[J].Mayo Clin Proc197449(3):185-187.
15
Peterson NESilverman ACampbell JB.Eosinophilic cystitis and coexistent eosinophilic gastroenteritis in an infant[J].Pediatr Radiol198919(6/7):484-485.
16
Zhou HCLai CYang L.Eosinophilic gastroenteritis with involvement of the urinary bladder[J].Pediatr Radiol201444(11):1454-1457.
17
Han SGChen YQian ZH,et al.Eosinophilic gastroenteritis associated with eosinophilic cystitis:Computed tomography and magnetic resonance imaging findings[J]. World J Gastroenterol201521(10):3139-3145.
18
Yalon MTahboub Amawi ADKelm ZS,et al.Eosinophilic Disorders of the Gastrointestinal Tract and Associated Abdominal Viscera:Imaging Findings and Diagnosis[J]. Radiographics202242(4):1081-1102.
19
Sunkara TRawla PYarlagadda KS,et al.Eosinophilic gastroenteritis:diagnosis and clinical perspectives[J]. Clin Exp Gastroenterol201912:239-253.
No related articles found!
阅读次数
全文


摘要


AI


AI小编
你好!我是《中华医学电子期刊资源库》AI小编,有什么可以帮您的吗?