切换至 "中华医学电子期刊资源库"

中华消化病与影像杂志(电子版) ›› 2026, Vol. 16 ›› Issue (01) : 41 -46. doi: 10.3877/cma.j.issn.2095-2015.2026.01.008

论著

缺血性肠病患者D-二聚体、肠道脂肪酸结合蛋白变化及CT血管成像特征的临床研究
唐月华, 曹友红(), 袁晨, 陈越亚, 马亦旻, 刘燕燕   
  1. 211316 南京市高淳人民医院消化内科
  • 收稿日期:2025-05-25 出版日期:2026-02-01
  • 通信作者: 曹友红

Clinical study on the changes of D-dimer and I-FABP and the characteristics of CT angiography in patients with ischemic bowel disease

Yuehua Tang, Youhong Cao(), Chen Yuan, Yueya Chen, Yimin Ma, Yanyan Liu   

  1. Department of Gastroenterology, Nanjing Gaochun People's Hospital, Nanjing 211316, China
  • Received:2025-05-25 Published:2026-02-01
  • Corresponding author: Youhong Cao
引用本文:

唐月华, 曹友红, 袁晨, 陈越亚, 马亦旻, 刘燕燕. 缺血性肠病患者D-二聚体、肠道脂肪酸结合蛋白变化及CT血管成像特征的临床研究[J/OL]. 中华消化病与影像杂志(电子版), 2026, 16(01): 41-46.

Yuehua Tang, Youhong Cao, Chen Yuan, Yueya Chen, Yimin Ma, Yanyan Liu. Clinical study on the changes of D-dimer and I-FABP and the characteristics of CT angiography in patients with ischemic bowel disease[J/OL]. Chinese Journal of Digestion and Medical Imageology(Electronic Edition), 2026, 16(01): 41-46.

目的

观察缺血性肠病(ICBD)患者D-二聚体(D-D)、肠道脂肪酸结合蛋白(I-FABP)变化及CT血管成像(CTA)的特征。

方法

回顾性分析南京市高淳人民医院2022年3月至2024年3月收治的204例疑似缺血性肠病患者的临床资料,根据病理结果将确诊ICBD患者纳入ICBD组,其余为非ICBD组。收集所有受试者的CTA特征、D-D、I-FABP水平,比较两组上述指标差异,使用受试者工作特征(ROC)曲线,分析CTA特征、D-D、I-FABP诊断缺血性肠病的效能及曲线下面积(AUC)。

结果

本研究纳入的204例疑似ICBD患者中,病理确诊104例,CTA检查征象可见:累及小肠60例(57.69%)、结肠34例(32.69%),大小肠均受累10例(9.62%)。其中肠壁增厚88例(84.62%),肠壁积气16例(15.38%),肠管扩张52例(50.00%),肠壁强化减弱78例(75.00%),腹腔积液30例(28.85%),肠系膜水肿6例(5.77%),肠梗阻8例(7.69%)。采用Fisher确切概率法比较两组影像学特征的阳性率差异有统计学意义(P<0.05)。ICBD组D-D、I-FABP水平高于非ICBD组(P<0.05),ROC曲线显示,I-FABP、D-D、CTA影像评分的AUC分别为0.808、0.783、0.776,I-FABP对ICBD的诊断效能显著优于D-D及影像评分,D-D对ICBD诊断效能略高于影像评分,三者联合的AUC为0.905,德隆检验显示,联合模型的AUC显著高于I-FABP(Z=3.87,P<0.001)、D-D(Z=4.52,P<0.001)及CTA影像评分(Z=4.91,P<0.001),而单一指标间差异均无统计学意义(P>0.0083)。

结论

ICBD患者的D-D、I-FABP变化及CTA特征联合模型,可提高早期诊断的准确性,为ICBD的病情评估和治疗方案制定提供了新的依据。

Objective

To explore the changes of D-dimer (D-D), intestinal fatty acid-binding protein (I-FABP) and the characteristics of CT angiography (CTA) in patients with ischemic bowel disease (ICBD).

Methods

A retrospective analysis was conducted on the clinical data of 204 patients with suspected ICBD admitted to Nanjing Gaochun People's Hospital from March 2022 to March 2024. According to the pathological results, patients diagnosed with ICBD were included in the ICBD group, and those diagnosed with non-ICBD were included in the non-ICBD group. The CTA characteristics, D-D and I-FABP levels of all subjects were collected, the differences in the above indicators between the two groups were compared. The receiver operating characteristic (ROC) curve was used to analyze the efficacy of CTA characteristics, D-D and I-FABP in diagnosing ICBD and the area under the curve (AUC).

Results

Among the 204 suspected ICBD patients included in this study, 104 cases were pathologically diagnosed, and the CTA examination signs showed that 60 cases (57.69%) involved the small intestine, 34 cases (32.69%) involved the colon, and 10 cases (9.62%) involved both the large and small intestines. Among them, there were 88 cases (84.62%) of intestinal wall thickening, 16 cases (15.38%) of intestinal wall gas accumulation, 52 cases (50.00%) of intestinal dilation, 78 cases (75.00%) of weakened intestinal wall enhancement, 30 cases (28.85%) of peritoneal effusion, 6 cases (5.77%) of mesenteric edema, and 8 cases (7.69%) of intestinal obstruction. The difference in the positive rate of imaging features between the two groups by Fisher's exact probability method was statistically significant (P<0.05). The levels of D-D and I-FABP in the ICBD group were higher than those in the non-ICBD group (P<0.05). The ROC curve showed that the AUC for I-FABP, D-D, and CTA imaging scores were 0.808, 0.783 and 0.776. The diagnostic efficacy of I-FABP for ICBD was significantly better than that of D-D and the image score, the diagnostic efficacy of D-D for ICBD was slightly higher than that of the image score, and the AUC of the three combined was 0.905. The Delon test showed that the AUC of the combined model was significantly higher than that of I-FABP (Z=3.87, P<0.001), D-D (Z=4.52, P<0.001), and CTA image score (Z=4.91, P<0.001), while there was no statistically significant difference among the single indicators (all P>0.0083).

Conclusion

The combined model of D-D, I-FABP changes and CTA characteristics in patients with ICBD improves the accuracy of early diagnosis and provides new basis for condition assessment and treatment plan formulation of ICBD.

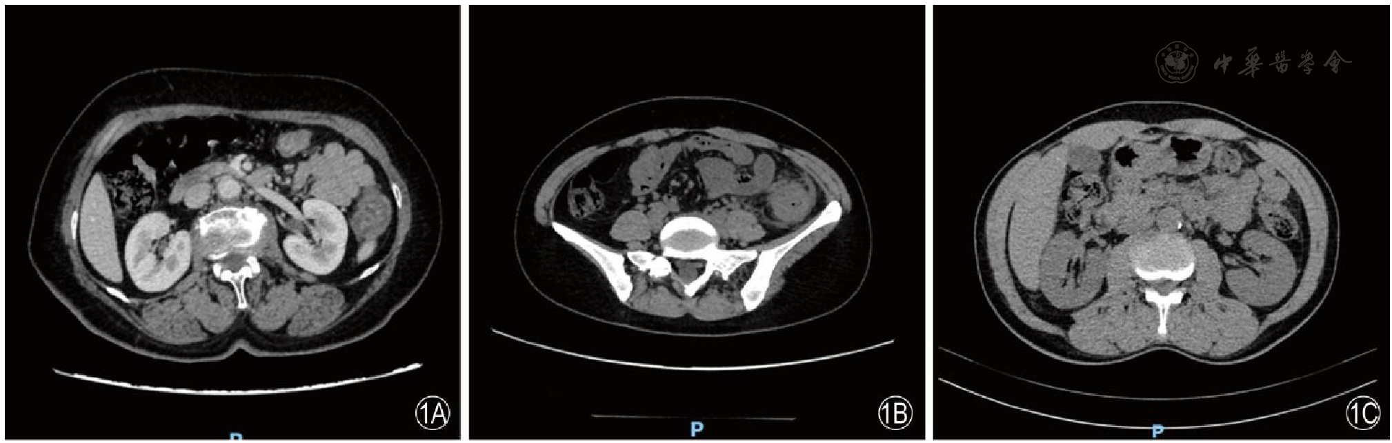
图1 缺血性肠病患者的CT血管成像注:1A降结肠壁增厚,密度减低,增强后强化呈相对低密度,周围间隙模糊;1B降结肠管壁增厚;1C结肠管壁弥漫性增厚
表1 两组患者影像征象分布比较[例(%)]
表2 两组患者基线资料及实验室检查结果比较(±s
图2 各指标对缺血性肠病诊断效能的ROC曲线注:D-D D-二聚体;I-FABP肠道脂肪酸结合蛋白
表3 各指标对缺血性肠病的诊断效能
[1]
Cai X, Li Y, Gao F, Muhammad B, Yang H. Therapeutic effect and study of human umbilical cord blood mononuclear cells in patients with ischaemic bowel disease[J]. Sci Rep, 2024, 14(1): 6121.
[2]
Rizwan R, Feuerstadt P. Bad blood: ischemic conditions of the large bowel[J]. Curr Opin Gastroenterol, 2022, 38(1): 72-79.
[3]
崔香丹, 李玥, 曹欣欣, 等. 阵发性睡眠性血红蛋白尿并发缺血性肠病临床特点分析[J]. 中华内科杂志, 2022, 61(2): 205-209.
[4]
Zafirovski A, Zafirovska M, Kuhelj D, et al. The Impact of Biomarkers on the Early Detection of Acute Mesenteric Ischemia[J]. Biomedicines, 2023, 12(1): 85.
[5]
宫蕾, 赵彬, 孙婷婷, 等. 血清肠型脂肪酸结合蛋白、白细胞介素-1β及粪便钙卫蛋白与小儿炎症性肠病活动性的关系[J]. 中国临床医生杂志, 2024, 52(9): 1099-1102.
[6]
Straarup D, Gotschalck KA, Christensen PA, et al. Exploring I-FABP, endothelin-1 and L-lactate as biomarkers of acute intestinal necrosis: a case-control study[J]. Scand J Gastroenterol, 2023, 58(12): 1359-1365.
[7]
Ronza FM, Di Gennaro TL, Buzzo G, et al. Diagnostic Role of Multi-Detector Computed Tomography in Acute Mesenteric Ischemia [J]. Diagnostics(Basel), 2024, 14(12): 1214.
[8]
张伟伟, 黄炎东, 王家旭, 等. 血清肠脂肪酸结合蛋白联合多层螺旋CTA诊断急性缺血性肠病价值的研究[J]. 中国医药科学, 2022, 12(9): 169-172, 191.
[9]
Ying M, Li YJ, Chen Y, et al. Healthcare professionals' knowledge, attitude and practice towards ischemic bowel disease[J]. World J Gastrointest Surg, 2025, 17(2): 96493.
[10]
Tunset ME, Haslene-Hox H, Van Den Bossche T, et al. Blood-borne extracellular vesicles of bacteria and intestinal cells in patients with psychotic disorders[J]. Nord J Psychiatry, 2023, 77(7): 686-695.
[11]
饶慧敏, 马梅香, 卢林, 等. 肠壁囊样积气症的MSCT征象及其在临床诊治决策中作用的探讨[J]. 中国医学计算机成像杂志, 2024, 30(2): 205-210.
[12]
Mahmood A, Faisal MN, Khan JA, et al. Association of a high-fat diet with I-FABP as a biomarker of intestinal barrier dysfunction driven by metabolic changes in Wistar rats[J]. Lipids Health Dis, 2023, 22(1): 68.
[13]
Pankratov AA, Snitsar AV, Vasilchenko MI, et al. KT-angiografiya i endovaskulyarnye vmeshatel'stva pri ostroi mezenterial'noi ishemii- pervye rezul'taty[CT angiography and endovascular treatment in acute mesenteric ischemia][J]. Khirurgiia(Mosk), 2022(3): 50-55.
[14]
Farooq U, Alcantar D, Ahmed Z, et al. Outcomes of Vasoconstrictor- Induced Non-Occlusive Mesenteric Ischemia of Colon: A Systematic Review[J]. Clin Med Res, 2022, 20(3): 164-169.
[15]
Medas R, Santos AL, Ferreira M, Macedo G. Pneumatosis intestinalis: a rare endoscopic feature of colonic ischemia[J]. Rev Esp Enferm Dig, 2023, 115(7): 385-386.
[16]
Han Z, Wang F, Zhang H. Traumatic intestinal ischemic necrosis[J]. Rev Esp Enferm Dig, 2025, 117(4): 231-232.
[17]
王小鹏. MSCT对静脉硬化性结肠炎的影像诊断及临床价值[J]. 临床放射学杂志, 2024, 43(11): 1918-1922.
[18]
朱丽平, 卢光新. 缺血性肠病新型生物标志物的研究进展[J]. 国际消化病杂志, 2023, 43(1): 6-9, 13.
[19]
丁宗豪, 汪泳, 陈博. 血清肠脂肪酸结合蛋白、碱性磷酸酶、D-二聚体在肠梗阻患者中的表达变化及临床价值研究[J]. 陕西医学杂志, 2024, 53(3): 340-343.
[20]
Zhou Y, Zhao H, Liu B, et al. The value of D-dimer and platelet-lymphocyte ratio combined with CT signs for predicting intestinal ischemia in patients with bowel obstruction[J]. PLoS One, 2024, 19(7): e0305163.
[21]
Tyagunov AE, Anurov MV, Titkova SM, et al. Intestinal fatty acid-binding protein(I-FABP) as biomarker of ischemic damage in experimentally induced 12-h small bowel obstruction[J]. Updates Surg, 2024, 76(7): 2693-2700.
[22]
Chen J, Yan Z, Lin Z, et al. I-FABP protein/mRNA and IL-6 as biomarkers of intestinal barrier dysfunction in neonates with necrotizing enterocolitis and SPF BALB/c mouse models[J]. J Int Med Res, 2024, 52(6): 3000605241254788.
[23]
胡昱月, 黄蕾, 范晶晶. 盐酸罂粟碱联合单硝酸异山梨酯对缺血性肠病疗效、肠缺血标志物及炎症状态的影响[J]. 中国合理用药探索, 2025, 22(1): 53-59.
[1] 余萍, 罗兵, 喻定刚. 基于三维重建引导下腹腔镜右半结肠切除术与传统手术的疗效及预后比较[J/OL]. 中华普外科手术学杂志(电子版), 2022, 16(05): 502-505.
[2] 马丽. CT灌注联合血管成像预测急性脑梗死患者近期神经功能预后的价值分析[J/OL]. 中华脑科疾病与康复杂志(电子版), 2023, 13(04): 229-234.
[3] 种玉龙, 徐武, 王晶, 姜成荣, 梁维邦. 头颅CTA检查在微血管减压术前安全性评估中的临床意义[J/OL]. 中华脑科疾病与康复杂志(电子版), 2021, 11(05): 282-284.
[4] 郭亚潘, 孙敬, 孙鹏程, 张鑫, 朱碧云, 李智, 倪才方. 超选择栓塞治疗急性肾出血及CT血管成像在显示责任血管中的作用[J/OL]. 中华介入放射学电子杂志, 2024, 12(02): 155-160.
[5] 张新伟, 倪训庆, 戴守平. 冠状动脉CTA诊断三房心并双孔房间隔缺损一例[J/OL]. 中华介入放射学电子杂志, 2019, 07(04): 338-339.
[6] 张扬, 翟仁友. 糖尿病足下肢动脉病变的影像学诊断与介入治疗研究进展[J/OL]. 中华介入放射学电子杂志, 2016, 04(04): 238-242.
[7] 孙娅慧, 刘淑萍, 孟利民, 姜礼君, 张红超, 杨斯博, 李利. 部分型肺静脉异位引流误漏诊分析一例[J/OL]. 中华诊断学电子杂志, 2025, 13(03): 200-203.
[8] 王林源, 熊鑫, 杨坤, 邓勇志. 基于冠状动脉CT血管成像的影像组学列线图鉴别诊断易损斑块的价值[J/OL]. 中华诊断学电子杂志, 2024, 12(01): 1-8.
[9] 李良, 孙悦, 孙全伟. CCTA联合DCG在冠心病心肌缺血诊断中的应用价值[J/OL]. 中华心脏与心律电子杂志, 2018, 06(02): 102-104.
[10] 李秦鹏, 王其涛, 朱媛媛, 周琦, 刘笑言, 许勇. 颈动脉彩色多普勒超声、颈部CT血管成像及脑部CT灌注成像在脑梗死并发颈动脉狭窄患者中的应用研究[J/OL]. 中华脑血管病杂志(电子版), 2023, 17(05): 482-488.
[11] 付永鹏, 拉巴索朗, 马强, 陈群超, 郑裕峰, 吴蕻, 郑圆杰, 胡婧, 于洮, 张东. 人工智能辅助CT血管成像脑血管重建在基层医院颅内动脉瘤诊断中的应用[J/OL]. 中华脑血管病杂志(电子版), 2023, 17(01): 26-30.
阅读次数
全文


摘要


AI


AI小编
你好!我是《中华医学电子期刊资源库》AI小编,有什么可以帮您的吗?